您所在的位置: 首页 >> 血管外科>> 特色技术 >>正文

特色技术

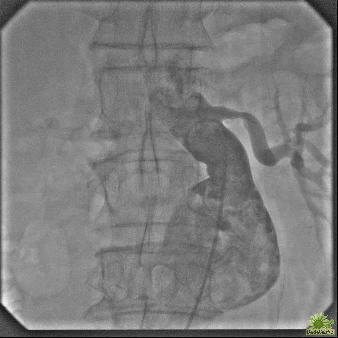
腔内隔绝术治疗腹主动脉瘤

字号:
+-14

  腔内隔绝术(End vascular graft exclusion,EVGE)治疗腹主动脉瘤(Abdominal aortic aneurysms,AAA)与传统手术切除加人工血管移植治疗方法相比,具有创伤轻微、并发症少、病死率低等优点。 

 

 

 

 

相关科室 | 相关医生 | 相关文章 | 相关咨询 | 相关视频 | 相关疾病