医院动态
山东第一医科大学附属省立医院多学科联合完成罕见复杂肱骨近端骨折手术
近日,山东第一医科大学附属省立医院(雷技竟 )中心院区创伤一科(创伤骨科)医师团队联合胸外科及麻醉手术科,成功为一例罕见的复杂肱骨近端骨折患者进行了手术,取得了良好效果。
患者马某64岁,车祸伤导致肱骨近端粉碎性骨折。该病例骨折粉碎移位严重,断裂脱位的肱骨头撞断肋骨后进入胸腔,此种损伤极其罕见,经文献检索国内外尚无此类报道。因肩关节内侧密布腋血管及臂丛神经,肱骨头取出困难,稍有不慎便会导致严重并发症,治疗难度及风险都非常大。


入院后中心院区创伤一科(创伤骨科)医师团队充分评估病情,积极术前准备,并请胸外科、麻醉手术科、心内科等多学科会诊讨论治疗方案,制订了多项风险预案。5月26日,患者在气管插管全麻下行左侧胸腔探查肱骨头取出+左肺叶裂伤缝合+左肱骨近端粉碎骨折切开复位内固定术。
手术由创伤一科张琰主任医师主刀,术中探查发现游离的肱骨头经喙突下、腋动脉臂丛神经深面,撞断肋骨后,进入胸腔内。原始创伤通道处大血管神经交织,肺裂伤后创口内较多出血,再加上肋骨阻挡,手术部位很深,操作空间狭窄,稍有不慎便可致腋动脉或其分支大出血,臂丛神经损伤致患者术后上肢活动障碍等严重并发症。在场指导的创伤一科副主任王鲁博与张琰主任医师果断选用备选治疗方案——请胸外科协助开胸探查取出肱骨头。
胸外科王磊主任医师经前胸第三肋间开胸,探查发现肱骨头位于左肺上叶深部,并导致肺部裂伤,徒手取出肱骨头后,对裂伤的肺叶进行了修复,放置胸腔闭式引流。肱骨头取出后,张琰主任医师对严重粉碎的复杂肱骨近端骨折进行了准确的解剖复位及可靠的内固定。手术历时约3小时,术中患者生命体征平稳,术后患者安返病房,病情稳定,术后第四天顺利拔除胸腔闭式引流,恢复良好,顺利出院。


术中取出的肱骨头

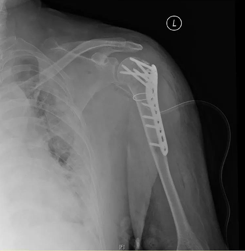
术后平片,骨折解剖复位
张琰主任医师介绍说,肱骨近端骨折是常见的老年骨质疏松性骨折,但肱骨头移位进入胸腔内的病例却极其罕见,治疗方案难有前人经验借鉴。按照一般思路,应由损伤通道取出肱骨头,但此方案操作空间窄,肱骨头不易取出,且在显露过程中过度牵拉或取出肱骨头时骨折断端都有可能损伤腋动脉及臂丛神经,造成严重术后并发症,甚至大失血死亡。术中果断选择了备选治疗方案,经创伤骨科与胸外科及麻醉手术科的默契配合,完成了此例高难度手术。
该例罕见病例的成功救治,发挥了多学科综合治疗模式的优势,也体现了省立医院创伤救治的整体水平。省立医院创伤一科(创伤骨科)每年完成各种手术1000余例,在复杂髋臼骨盆骨折、脊柱脊髓损伤、严重多发伤复合伤的处理救治水平方面均处于省内领先水平。今后,创伤骨科医疗团队将不忘初心,再接再厉,更好地为患者提高优质高效的医疗服务!


